El brote de infección cerebral en niños ha sido descrito como un fenómeno preocupante por médicos y autoridades sanitarias
El Heraldo de México. Las autoridades sanitarias de Estados Unidos están en alerta por un aumento inexplicable en una rara infección cerebral que afecta a niños en Las Vegas y otras partes del país. Los Centros para el Control y la Prevención de Enfermedades (CDC) están investigando el brote que ha causado gran preocupación entre la población.
De acuerdo con los informes, el condado de Clark, Nevada, ha reportado 18 casos de abscesos cerebrales en niños en desde marzo de 2022, lo que representa más del triple de los cinco diagnósticos reportados en los últimos cinco años. La situación ha llevado a la comunidad científica a tomar medidas inmediatas para tratar de entender la causa de este fenómeno.
La doctora Taryn Bragg, profesora asociada de la Universidad de Utah y neurocirujana que trató a algunos de los pacientes afectados, afirmó que nunca había visto algo similar en sus 20 años de experiencia. “Después de marzo de 2022, hubo un gran aumento en los casos de abscesos cerebrales”, explicó.
Autoridades sanitarias trabajan para investigar la causa
El brote de infección cerebral en niños ha sido descrito como un fenómeno preocupante por médicos y autoridades sanitarias. Según un informe de los CDC los pacientes necesitaron en promedio alrededor de dos semanas de hospitalización y más del 80 por ciento de ellos requirió de cirugía cerebral. A pesar de esto, ninguno falleció a causa de la infección.
El doctor Sunil Sood, especialista en enfermedades infecciosas pediátricas de la red de atención médica Northwell Health en Nueva York, ha declarado que han visto aproximadamente el doble de casos de lo habitual en niños.
Actualmente las autoridades sanitarias están trabajando para investigar la causa de esta infección cerebral y prevenir su propagación. Por el momento los investigadores del Servicio de Inteligencia Epidémica de los CDC no han encontrado una respuesta específica para la situación. Se requiere de más investigación para identificar los factores de riesgo y causas de esta rara afección, y para comprender las tendencias futuras.
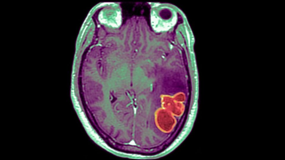
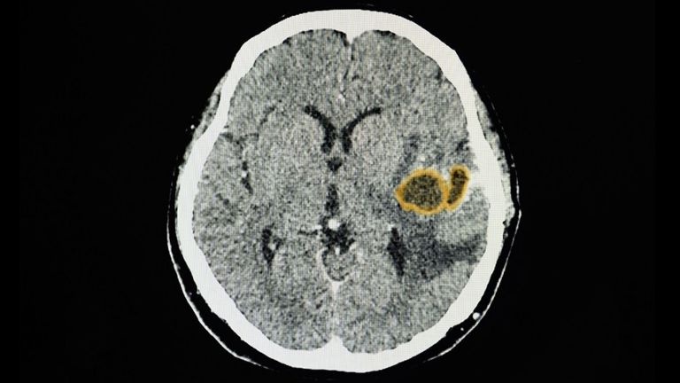
Es muy importante señalar que un absceso cerebral es una acumulación de pus e infección en el tejido cerebral, lo que puede causar convulsiones, trastornos visuales y cambios en el habla, la coordinación y el equilibrio. Su tratamiento suele incluir procedimientos quirúrgicos.
